UDHC case records (B)

Thursday, June 16, 2016

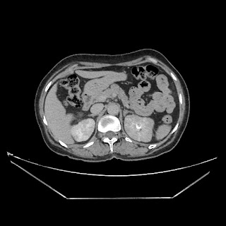
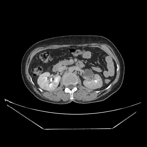
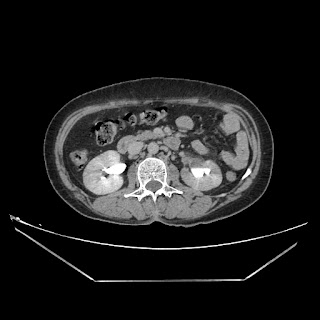
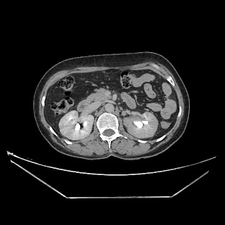
Urography images

A 50 years old woman with suffering from left sided PUJ obstruction











































































Posted by udhc hindi blogs at 4:13 AM
Email ThisBlogThis!Share to XShare to FacebookShare to Pinterest

No comments:

Post a Comment

Newer Post Older Post Home
View mobile version
Subscribe to: Post Comments (Atom)

About Me

udhc hindi blogs
View my complete profile

Blog Archive

  • ▼  2016 (22)
    • ►  August (1)
    • ▼  June (4)
      • A 45 years old woman recurrent HRCT Images
      • Urography images
      • Deleted 30 Min CT images
      • Deleted 90 Min CT images
    • ►  April (1)
    • ►  March (1)
    • ►  February (7)
    • ►  January (8)
  • ►  2015 (24)
    • ►  December (8)
    • ►  November (8)
    • ►  October (8)
Simple theme. Powered by Blogger.