UDHC case records (B)
Thursday, June 16, 2016
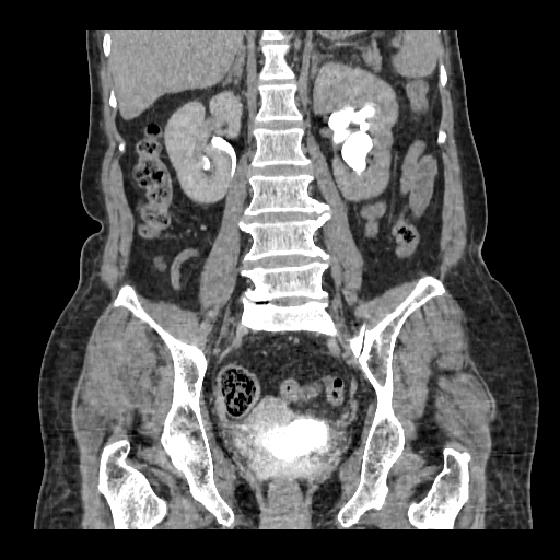
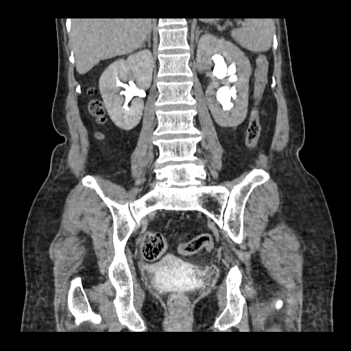
Deleted 90 Min CT images
Deleted 90 Min CT images:
A 50 years old woman with suffering from left sided PUJ obstruction
No comments:
Post a Comment
Newer Post
Older Post
Home
View mobile version
Subscribe to:
Post Comments (Atom)
No comments:
Post a Comment