A 33 years old woman with abdominal pain since 2 month
This is a HIPAA de-identified open-online-patient-record with initial information in duty-doctors notes as well as patient's voice, posted here Summer season 2016 after collecting informed patient consent by LNMCH research assistant and patient-information-communication-executive for a discussion initiated by patient's primary care physician in-charge:
Patient ID is: abelmoschus464moschatus(kg)
Patient C/O :
Abdominal pain X 2 months
vomiting & nausea onset X 6-7 days
Doctor's notes:
Doctor's daily notes:
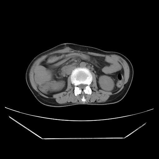
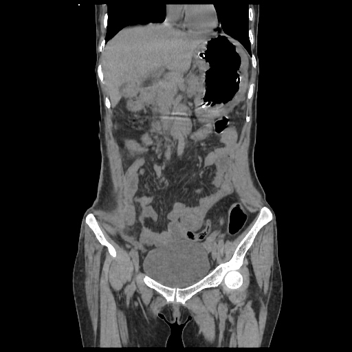
Investigation & report images:
Radiological images:
X-ray's investigation done on 18Apr16
CT-Scan investigation done on 16Apr16





























































































































































































































































































































































