UDHC case records (B)

Wednesday, October 28, 2015

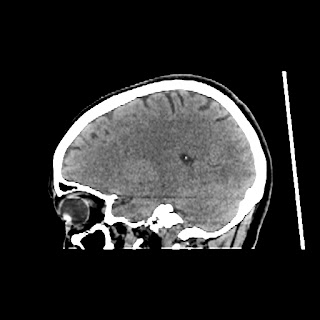
A 41 years old woman with......
















Posted by udhc hindi blogs at 9:21 PM No comments:
Email ThisBlogThis!Share to XShare to FacebookShare to Pinterest

Monday, October 26, 2015

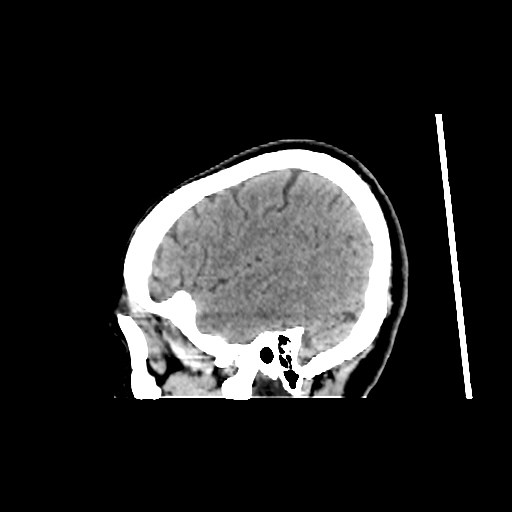
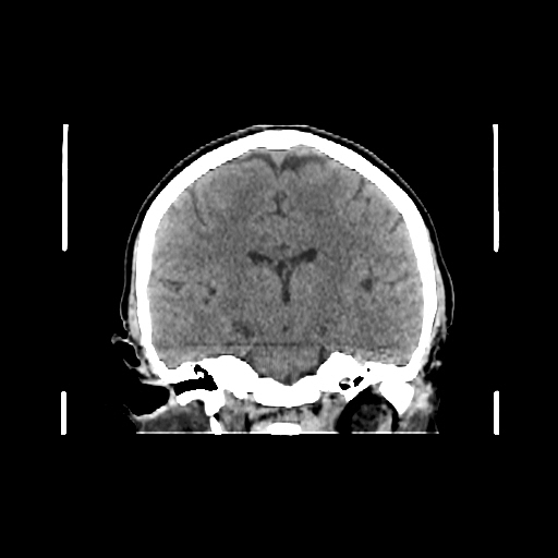
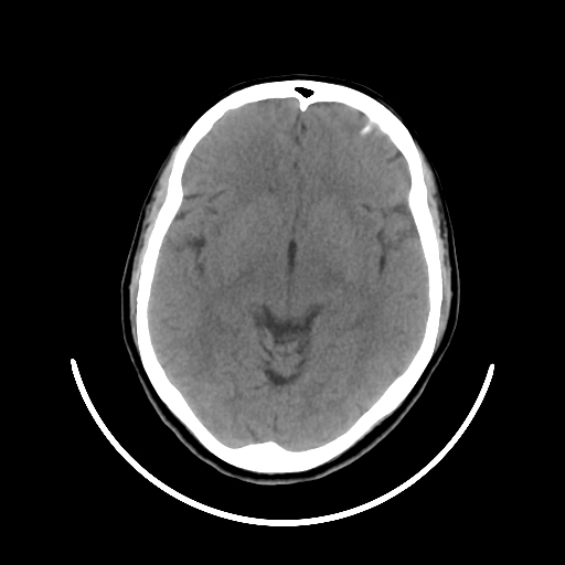
A 50 years old woman with headache, back pain, ghabrahat












































































































































































































































































































Posted by udhc hindi blogs at 10:06 PM 1 comment:
Email ThisBlogThis!Share to XShare to FacebookShare to Pinterest
Newer Posts Older Posts Home
View mobile version
Subscribe to: Comments (Atom)

About Me

udhc hindi blogs
View my complete profile

Blog Archive

  • ►  2016 (22)
    • ►  August (1)
    • ►  June (4)
    • ►  April (1)
    • ►  March (1)
    • ►  February (7)
    • ►  January (8)
  • ▼  2015 (24)
    • ►  December (8)
    • ►  November (8)
    • ▼  October (8)
      • A 41 years old woman with......
      • A 50 years old woman with headache, back pain, g...
      • A 75 years old woman with COPD
      • A 47 years old woman with abdominal pain since 5...
      • A 50 years old woman with swelling all over body ...
      • A 34 years old woman with Ascities & abdominal pa...
      • A 55 years old woman with CLL & fever since 1 wee...
      • A 14 years young girl with abdomen pain & vomitin...
Simple theme. Powered by Blogger.