UDHC case records (B)
Wednesday, October 28, 2015
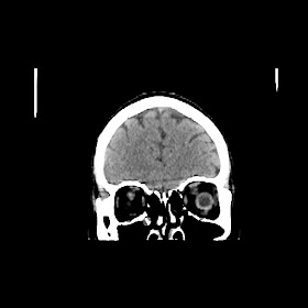
A 41 years old woman with......
Monday, October 26, 2015
A 50 years old woman with headache, back pain, ghabrahat
‹
›
Home
View web version