UDHC case records (B)

Wednesday, August 31, 2016

A 30 years old woman with alopecia, oral ulcers & thyroid enlargement

Patient history:


Patient own history


Clinical Images:





Doctor's notes




Investigation Reports:





Posted by udhc hindi blogs at 3:23 AM No comments:
Email ThisBlogThis!Share to XShare to FacebookShare to Pinterest

Wednesday, June 22, 2016

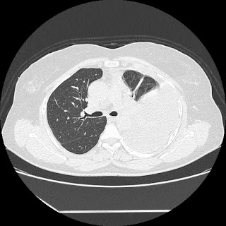
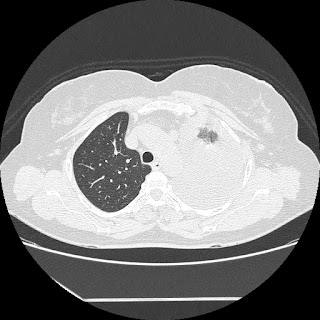
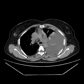
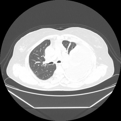
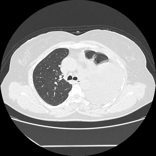
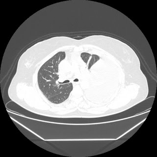
A 45 years old woman recurrent HRCT Images




































































































































































































































































































































































Posted by udhc hindi blogs at 4:14 AM No comments:
Email ThisBlogThis!Share to XShare to FacebookShare to Pinterest
Older Posts Home
View mobile version
Subscribe to: Comments (Atom)

About Me

udhc hindi blogs
View my complete profile

Blog Archive

  • ▼  2016 (22)
    • ▼  August (1)
      • A 30 years old woman with alopecia, oral ulcers & ...
    • ►  June (4)
    • ►  April (1)
    • ►  March (1)
    • ►  February (7)
    • ►  January (8)
  • ►  2015 (24)
    • ►  December (8)
    • ►  November (8)
    • ►  October (8)
Simple theme. Powered by Blogger.