This is a HIPAA de-identified open-online-patient-record, posted on autumn 2015 after collecting informed patient consent (form downloadable here ) by LNMCH research assistant and patient-information-communication-executive and discussion initiated by patient's primary care physician in-charge:
Conversational clinical decision support from online learning forum:
Conversational clinical decision support from online learning forum:
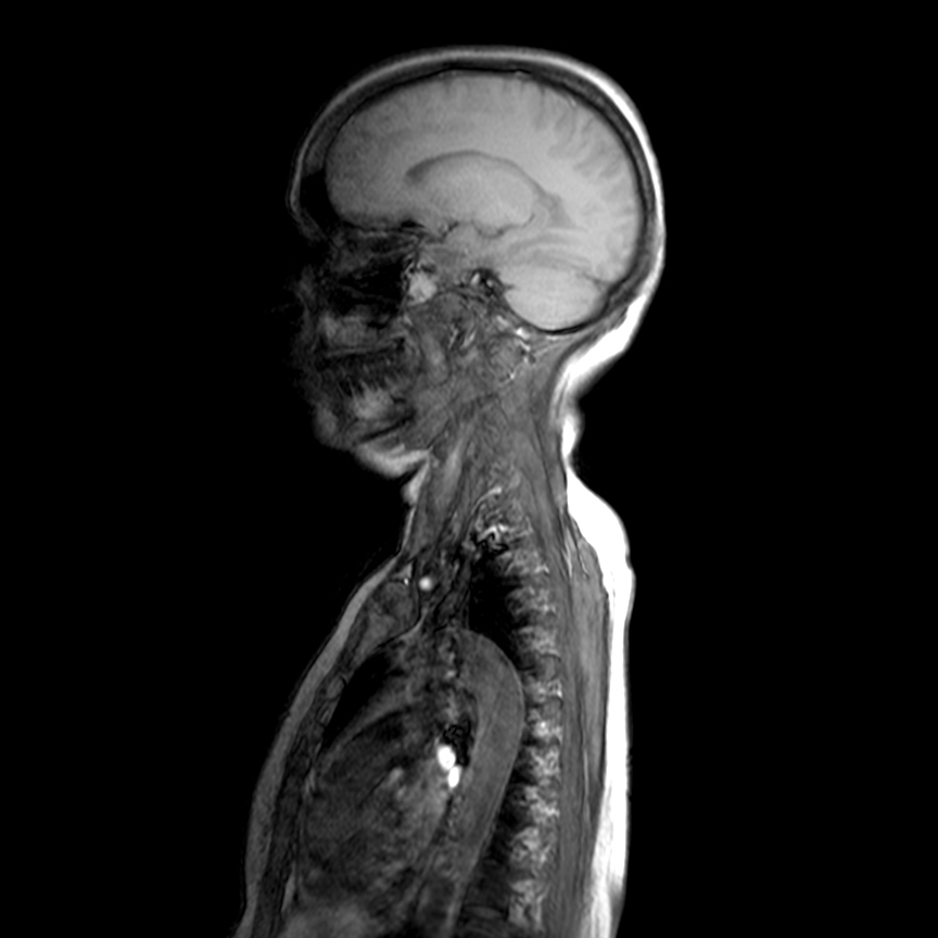
Needed help for this currently admitted 60 years old woman with gradual paralysis and severe back pain for the last few weeks. On examination there was slight gibbus and absent lower limb reflexes and MRI shows a lesion at L3 as well as T3.
Online forum conversations:

Below are the images of doctor notes and patient radiology and investigations uploaded in autumn 2015 by LNMCH research assistant and patient-information-communication-executive:
Doctor's notes:
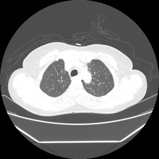
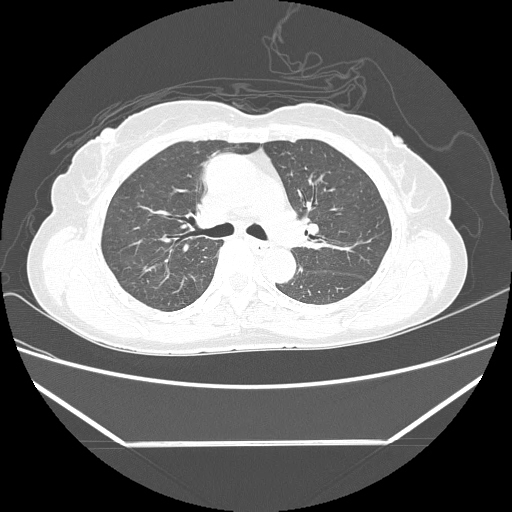
Investigation images:
Radiological images:
HRCT is also done on 13/11/15
USG report & images:






























































































































































































































































































































































































































































No comments:
Post a Comment