UDHC case records (B)

Thursday, November 5, 2015

A 44 years old woman with trunkal obesity and recent itchy skin rash

ADENANTHERA736PAVONINA02

OPD notes:



O/E Images:








Doctor's notes:



Investigation images:






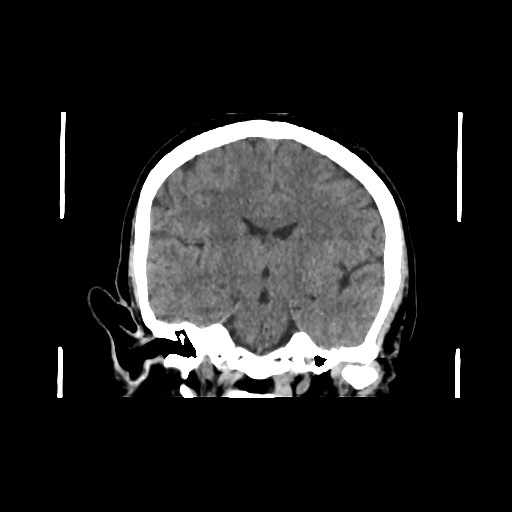
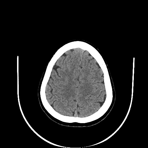
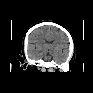
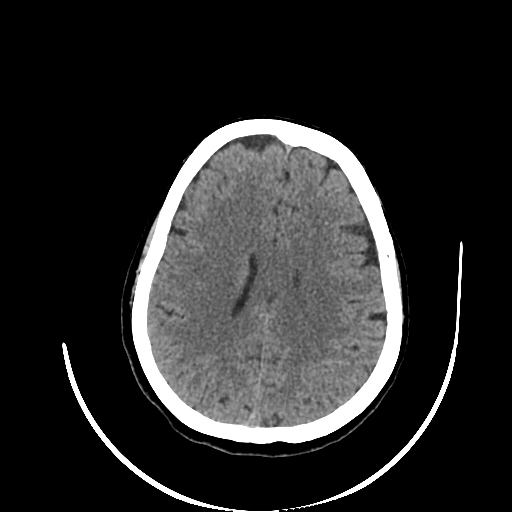
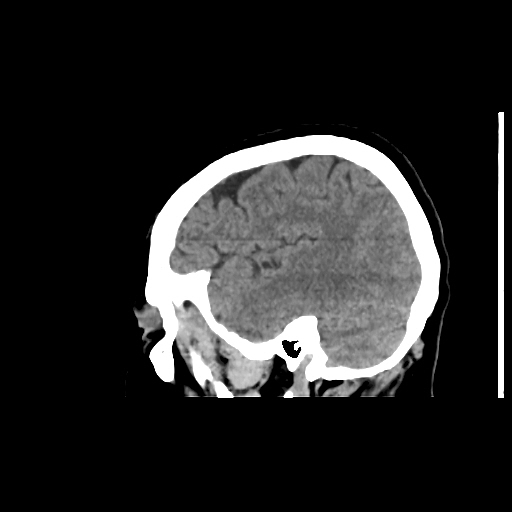
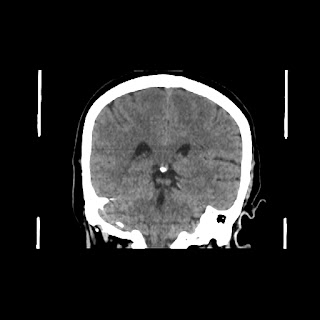
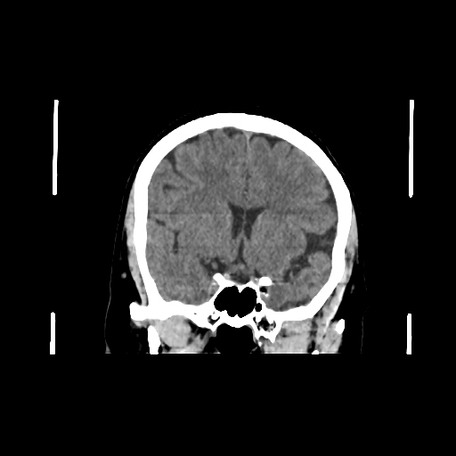
Radiological images:












































































































































































































































































































































































































Posted by udhc hindi blogs at 9:06 PM
Email ThisBlogThis!Share to XShare to FacebookShare to Pinterest

No comments:

Post a Comment

Newer Post Older Post Home
View mobile version
Subscribe to: Post Comments (Atom)

About Me

udhc hindi blogs
View my complete profile

Blog Archive

  • ►  2016 (22)
    • ►  August (1)
    • ►  June (4)
    • ►  April (1)
    • ►  March (1)
    • ►  February (7)
    • ►  January (8)
  • ▼  2015 (24)
    • ►  December (8)
    • ▼  November (8)
      • A 70 years old woman with Obstractive jaundice &...
      • A 59 years old woman with CAD & truncal obesity ...
      • A 70 years old woman with abdomen pain since las...
      • A 35 years old woman with... OPD & Doctor's note...
      • A 49 years old woman with ..... OPD & Doctor's n...
      • A 20 years old woman with intermittent seizures si...
      • A 60 years old woman with gradual paralysis and se...
      • A 44 years old woman with trunkal obesity and rece...
    • ►  October (8)
Simple theme. Powered by Blogger.