This is a HIPAA de-identified open-online-patient-record with initial information in duty-doctors notes as well as patient's voice, posted here early winter 2015 after collecting informed patient consent (form downloadable here) by LNMCH research assistant and patient-information-communication-executive for a discussion initiated by patient's primary care physician in-charge:
History image:

O/E images:
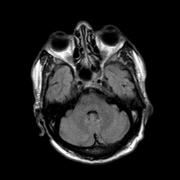
Radiological images:
History image:

O/E images:
doctor's notes images:
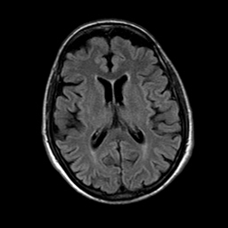
Radiological images:





































No comments:
Post a Comment