This is a HIPAA de-identified open-online-patient-record with initial information in duty-doctors notes as well as patient's voice, posted here early winter 2015 after collecting informed patient consent (form downloadable here ) by LNMCH research assistant and patient-information-communication-executive for a discussion initiated by patient's primary care physician in-charge:
This is the patient's record uploaded earlier here:
http://www.udhc.co.in/INPUT/displayIssueGraphically.jsp?topic_id=1867 by Mr Pradip Kar from Mathabhanga.
During her work up in LNMCH, Bhopal (winter 2015) we retook the history and realized that she was hypertensive since 1995 since her last childbirth and on 2013 she had an episode of probable stroke followed by nausea, vomiting and diarrhea with severe hypokalemia and hypocalcemia.
We looked at secondary causes of hypertension (also see tabula rasa conversational decision support in her previous record linked above).
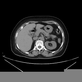
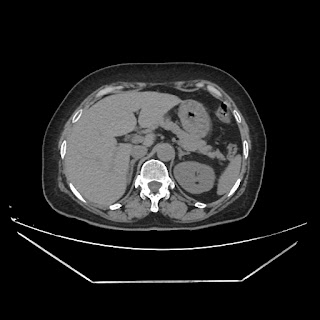
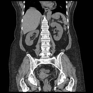
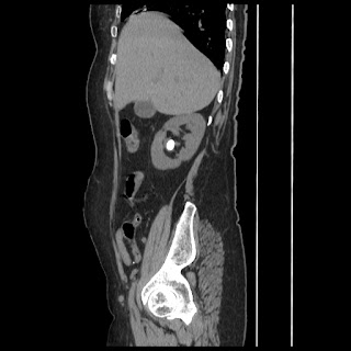
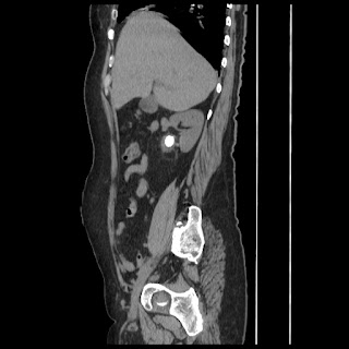
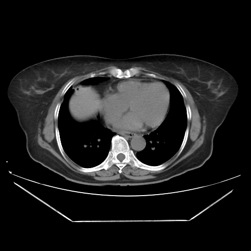
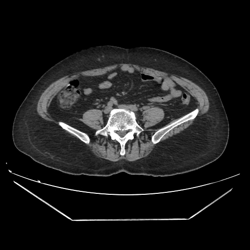
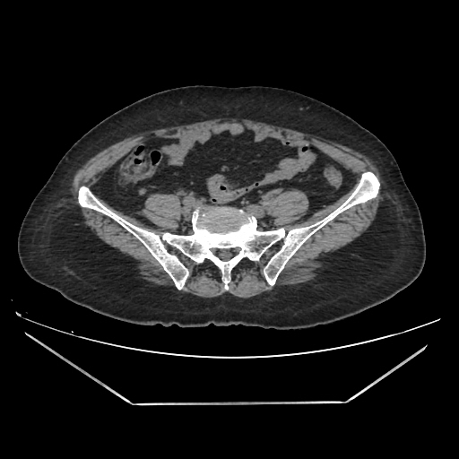
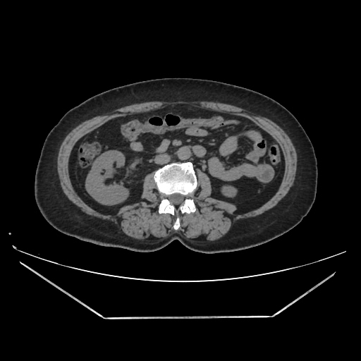
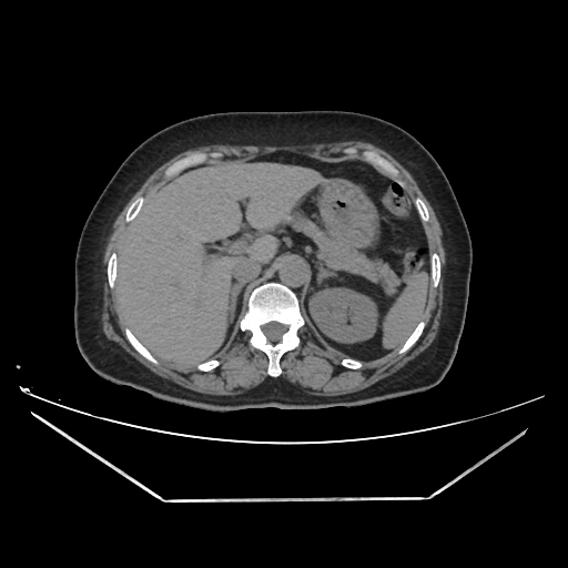
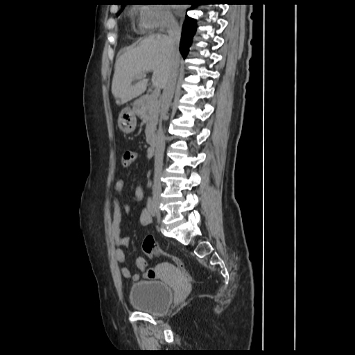
A CT abdomen revealed a left adrenal cortical tumor.
Her Aldosterone/renin ratio was also raised.
She was sent home on an aldosterone blocker (spironoloactone) and her updated potassium report done on first winter of 2016 shows 5.3 mmol/lt
Patient updates:
Winter spring 2016:
1) First update: Mar pressurer medicine stamlo5 khaoar por pet fule jay,pithe pain hy,khaoar eche thakena.tahle akni ki kra darkar ?kindly janaben
and follow up suggestions for her local doctor (in Bengali):
Unar Local daktarer jonye:
Unar potassium aekhone gradually bere geche kajei unar syrup Pot Klor ta bondho kora jete pare.
Unar Tablet Aldactone ta 100 mg dine ek bar continue korte paren ebong aager baki oshudh guno discharge card ae jemone dewa ache temone cholbe.
Unar peter problem gunor jonye uni Amlod 5 ta khawar pore khete paren ebong khawar aage Omez-D kheye nite paren dine du bar.
hath 2 ta majhemajhe var hye jay.
kal theke bomi hoche,khete parcena.buk var hoye thake.alltime bomi vab thake.aj 1bar bomi hyece.
ki krbo now.tention hoche sir ........
3) 3rd update in winter spring 2016:
Apnar katha moto ajkerdiner ghotonagulo bolci
1).B.P-140/80,
2.)WT-60
3. ) 6a.m theke khub matha ghorache and bukta var hye chilo,matha tultei parcilona mane chokkor dichilo.blcilo poregelm poregelam.
4) 9a.m e khali pete mdi derek L kheyecilo n tea n muri kheyecilo.then stamlo 5 khyece .then 9.45am e kola khai.10.30 am e vat mix veg kheyece.then mdi gulo kheyece prescribd onujaye.
5) 11 am e abar matha ghorate thake khub nd bes kichu bar matha ghorate thake nd bed theke norte pareni mane pas firte parcilo na.thkn mdi Abbott khaoano hy..
6)12.30 te khejur khai.
7)2.00pm e vat,dal,sobji,salad ,fish nd fruit khai
8)3.30 theke abr matha chhokor dite thake.
8)6.00pm e tea muri nd kola khai
akn porjonto jol kheyece 2 lt.urin ok ache,ghum hyna
MATAH AL TIME GHORAY.. ND BOMI VAB MAJHEMAJHE HY,KHETE ECHE KRENA sorir khub durbol.
Sir akn ki korbo ........PLS SIR apnar ans er jnno wt krci next step amra ki nebo.....
Response from RB, Physician, Bhopal, India:
" mdi derek L" apni likhechen sheta bojha jacchena. Medicine guno detail naam suddhu likhe janate parben ki ki khacche?
Response from RB winter spring 2016, Physician, Bhopal, India:
Unar bukta var howar jonye capsule Derek-L ta hoyto karjokori hote pare. Ota khele buker bhar ta komche ki na janaben.
Unar matha ghorano are bomi tai prodhaan symptom.
Unake Tablet Avomine 25 mg dine teen baar dewa jete pare local dakaterer saathe poramorsho kore. Aer ager report guno jeguli pathiyechilen sheguno bhaloi chilo bole mone holo.
Unar 24 hour a koto urine hoi shetao apnake roj lokkho rekhe janate habe.
4th update winter spring 2016:
Sir matha ghoranotai main prb.Derek L khali pete mrnig e khai.baki ja prb ta age boleci.
urin koto hy kal janabo
Response from RB winter spring 2016, Physician, Bhopal, India:
Matha ghoranore jonye unake Tablet Avomine 25 mg dine teen baar dewa jete pare local dakaterer saathe poramorsho kore.
Unar sampoorno record ebong updates ekhane: http://globaludhc07.blogspot.in/2015/12/a-50-years-old-woman-with.html click korle paben.
Other investigations (winter 2015):
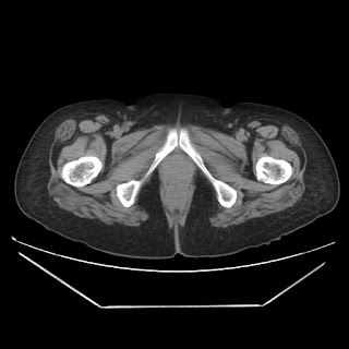
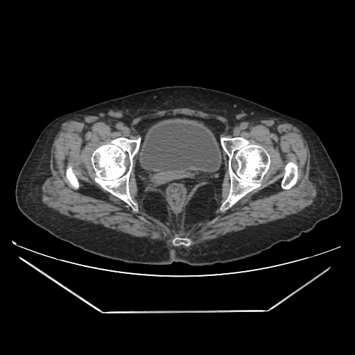
Her abdominal X-ray also reveals a right renal stone although she never complained of renal colic.
CT images:



















































































































































































































































































































































































































































































































































































































































































































No comments:
Post a Comment