A 75 years old woman with DM-2 since 3 years
This is a HIPAA de-identified open-online-patient-record with initial information in duty-doctors notes as well as patient's voice, posted here early winter 2015 after collecting informed patient consent (form downloadable here ) by LNMCH research assistant and patient-information-communication-executive for a discussion initiated by patient's primary care physician in-charge: 
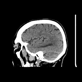
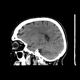
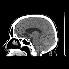
Patient O/E images:
History notes:
C/O: Breathlessness X 2-3 day's
Vomiting 1-2 episode since last night
Cough X 2-3 day's
H/O: unconsiouness since few hour's at home around 10:30 pm
K/C: DM / HTN since 2-3 year's
                                
C/O: Breathlessness X 2-3 day's
Vomiting 1-2 episode since last night
Cough X 2-3 day's
H/O: unconsiouness since few hour's at home around 10:30 pm
K/C: DM / HTN since 2-3 year's
Doctors notes:


















































































































































































































































































































































No comments:
Post a Comment