This is a HIPAA de-identified open-online-patient-record, posted early winter 2015 after collecting informed patient consent (form downloadable here ) by LNMCH research assistant and patient-information-communication-executive for an online-forum discussion initiated by patient's physician in-charge:
Patient history:
Doctor's notes:
Investigation images:
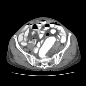
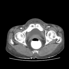
Radiological images:

































































































































































































































































































































































No comments:
Post a Comment