Monday, November 30, 2015

A 70 years old woman with Obstractive jaundice & palpable GB

This is a HIPAA de-identified open-online-patient-record, posted on autumn 2015 after collecting informed patient consent (form downloadable here ) by LNMCH research assistant and patient-information-communication-executive and discussion initiated by patient's primary care physician in-charge: 

Conversational clinical decision support from online learning forum:

Present complaints:
                            Pain in abdomen                                 
                               Fever                                 
                               Headache                                 
                               Vertigo                                 
                               Yellowish eyes                                 
                               Distension & Tenderness of abdomen                                       
                               Slightly in edema in both legs                                 
                               Nausea & vomiting                                 
                               Dullness                                 
                               Loss of appetite                                 
                               Constipation                                 
                               Yellowish urine

All problems started since 1 month.    

 O/E Images:






Doctor's Latest notes:

OPD notes & daily treatment notes:





New Investigaion & report images :



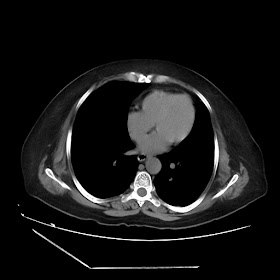
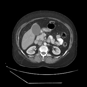
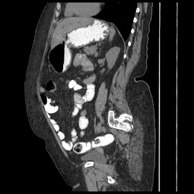
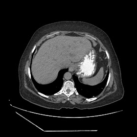
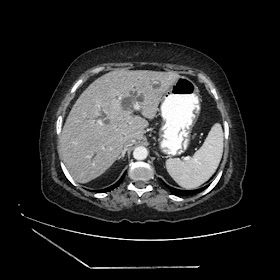
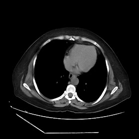
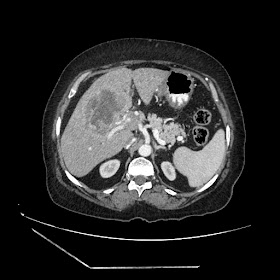
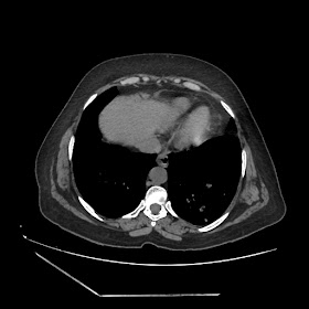
Latest Radiological images:



















































































































































































































































































































































































































































































































































































































































































old treatment & Diagnosis images: